Travel Health

Protection is needed

Everybody knows the "Big Five" of South Africa: elephant, rhinoceros, buffalo, lion and leopard. They are big and they can be dangerous, but only if you approach them too close.

The Philippines' "Big Five" are small, very small: Malaria, Dengue, Cholera, Typhoid and Hepatitis. They are microscopic and they approach you unseen and unheard, but they can hit you dangerously.

Don't panic! Know the potential dangers and protect yourself with a minimum of expenses and equipment. Read our advices and information below and behave reasonably.


Malaria

Malaria is a mosquito-transported infectious disease of humans and other animals caused by parasitic protozoans of the genus Plasmodium.

Only female mosquitoes feed on blood; male mosquitoes feed on plant nectar, and thus do not transmit the disease. The females of the Anopheles genus of mosquito prefer to feed at night.

Protection:
  1. Drugs: Are usually not needed except if you stay in very exposed regions marked orange in the map. Counsult a physician.

  2. Chemical: Bring or buy an insect repellent. Well known in the Philippines is "OFF!". Apply it before sunset.

  3. Mechanical: Outdoors, wear long sleeves and long pants of extra light-weight fabric. Indoors, put mosquitoes screens on the windows and sleep under a mosquito net.

If you got hit:

Symptoms can be any of these: headache, fever, shivering, joint pain, vomiting, hemolytic anemia, jaundice, blood in the urine, retinal damage and convulsions. They usually appear 8–25 days following the infection.

Medical help:

In the Philippines see here
In your home country see here

 

Malaria endemicity map in 2010 in Philippines

 

A female Anopheles mosquito
A female Anopheles mosquito full of human blood

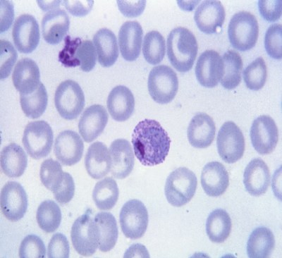
Plasmodium vivax
Plasmodium vivax is one of the six species of malaria parasites that commonly infect humans.

Dengue Fever

Dengue fever is an acute febrile viral disease. Dengue viruses are flaviviruses. These viruses are also responsible for Dengue Haemorrhagic Fever (DHF). The viruses are transmitted to man by the bite of infective mosquitoes, mainly Aedesa egypti. The incubation period is 4-7 days (range 3-14 days). This disease is endemic in most parts of the Philippines.

Aedesa egypti mosquitoes are day active.

Protection:
  1. Drugs: None, there is no prevention available.

  2. Chemical: Bring or buy an insect repellent. Well known in the Philippines is "OFF!". Apply it all day and repeat every 4 to 6 hours.

  3. Mechanical: Outdoors, wear long sleeves and long pants of extra light-weight fabric. Indoors, put mosquitoes screens on the windows and sleep under a mosquito net.

If you got hit:

Symptoms can be any of these: sudden onset, fever of 3-5 days, intense headache, myalgia, anthralgic retro-orbital pain, anorexia, GI disturbances and rash. The incubation period (time between exposure and onset of symptoms) ranges from 3–14 days, but most often it is 4–7 days.

Medical help:

In the Philippines see here
In your home country see here

 

Dengue is endemic all over the Philippines

April 2019: Dengue fever is currently wide spread in the southern Visayas and northern Mindanao.

 

An Aedesa egypti
An Aedesa egypti mosquito full of human blood

A cluster of dengue virus virions
A cluster of dengue virus virions.

Typhoid Fever

Typhoid fever is a life-threatening illness caused by the bacterium Salmonella typhi.

Salmonella typhi lives only in humans. Persons with typhoid fever carry the bacteria in the bloodstream and intestinal tract. In addition, a small number of persons, called carriers, recover from typhoid fever but continue to carry the bacteria. Both ill persons and carriers shed Salmonella typhi in their stools.

Typhoid fever can only spread in environments where human feces or urine are able to come into contact with food or drinking water.

Protection:
  1. Drugs:  There are 3 moderately effective vaccines: one oral (Vivotif Oral); and two (Typherix and Typhim Vi) as injections.

  2. Chemical: Wash your hands with soap and if available disinfection solution.

  3. Mechanical: Avoid touching anything in public toilets. Avoid improper, standing waters. Be careful where you eat and drink. Check hygienic conditions.

If you got hit:

In the first week, the temperature rises slowly, malaise, headache, and cough.
In the second week high fever of 40°C occurs. Rose spots appear on the lower chest and abdomen. The abdomen is distended and painful.
The fever is still very high and oscillates very little over 24 hours. Dehydration ensues, and the patient is delirious.

Medical help:

In the Philippines see here
In your home country see here

 

Typhoid fever is endemic all over the Philippines
Typhoid fever is endemic all over the Philippines.

 

Salmonella typhi bacterias
Salmonella typhi bacterias

Skin rashes
Skin rashes

Cholera

Cholera is an infection of the small intestine caused by the bacterium Vibrio cholerae.

Transmission is primarily by the fecal contamination of food and water caused by poor sanitation. The source of the contamination is typically other cholera sufferers when their untreated diarrheal discharge is allowed to get into waterways, groundwater or drinking water supplies. Drinking any infected water and eating any foods washed in the water, as well as shellfish living in the affected waterway, can cause a person to contract an infection.

Protection:
  1. Drugs: Currently, there are two oral cholera vaccines available, Dukoral which is World Health Organization (WHO) prequalified and licensed in over 60 countries and ShanChol.

  2. Chemical: Wash your hands with soap and if available disinfection solution.

  3. Mechanical: Be careful where you eat and drink. Drink only water from sealed bottles. Avoid ice when you are not sure that it had been made from bottled water.

If you got hit:

The primary symptoms of cholera are profuse diarrhea and vomiting of clear fluid. These symptoms usually start suddenly, half a day to five days after ingestion of the bacteria.

Fever is rare and should raise suspicion for secondary infection. If the severe diarrhea is not treated, it can result in life-threatening dehydration and electrolyte imbalances.

Medical help:

In the Philippines see here
In your home country see here

 

There are sporadic Cholera outbreaks in the Philippines. They are usually isolated phenomena.

Risky locations are all places after massive floods, when freshwater resources are contaminated.

In 2013 a first Cholera outbreak happened in April on Bongo Island in Maguindanao. The cholera victims reside in a seaside village where folks fetch water for cooking and drinking from deep wells. These wells were made murky and unsafe by heavy rains three days before victims started complaining of painful abdominal spasms and loose bowel movement.

Parts of Samar and Leyte are still high risk locations after typhoon Haiyan/Yolanda had flooded big stretches of these islands.

Devastation after typhoon Haiyan/Yolanda
Devastation after typhoon Haiyan/Yolanda

 

Vibrio cholerae bacterias
Vibrio cholerae bacterias

Mobile water sanitation unit
Mobile water sanitation unit

Hepatitis

Hepatitis is a medical condition defined by the inflammation of the liver.

The most common causes of viral hepatitis are the five unrelated hepatotropic viruses, hepatitis A, B, C, D and E. Other common causes of non-viral hepatitis include toxic and drug-induced, alcoholic, autoimmune, fatty liver, and metabolic disorders. Less commonly some bacterial, parasitic, fungal, mycobacterial and protozoal infections can cause hepatitis.

Approximately 16% of the population or 16 million Filipinos are carriers of the hepatitis B virus.

Hepatitis A is spread by eating infected food and drinking water and anal-oral contact during sex. Hepatitis B, C, D and E are spread by contact with an infected person’s blood, semen, or other body fluid.

Protection:
  1. Drugs: Vaccines are available to prevent hepatitis A and B. Hepatitis A immunity is achieved in 99-100% of persons receiving the two-dose inactivated virus vaccine.

  2. Chemical: Absolutely no drugs! No excessive alcohol consumption!

  3. Mechanical: No unprotected sex! Use a condom!

If you got hit:

You will not know you are infected until the complications arise. Majority of those infected do not show symptoms. But acute infection in adults sometimes come out in the form of flu-like symptoms or the most common yellowish color of the white of the eyes or jaundice.

Medical help:

In the Philippines see here
In your home country see here

 

Hepatitis campaign

 

Hepatitis virus
Hepatitis virus

Hepatitis symptoms
Hepatitis symptoms

Hemorrhoid

Nobody likes to talk about Hemorrhoid. But many western tourists and expats encounter them. Why?

There are different reasons. First, western people are used to toilet paper. Here you find it only in good hotels. Second: In your stool live billions of bacterieas and bacterias love the tropical climate. If you are not 101% clean, they multiply within minutes. Third: Filipino diet is high in meat & rice and low in fibrous vegetables. Your intestin bacterias love this. And last: At home you do not find the device showed aside.

After having done your big business in a toilet, DON'T WIPE - WASH!

There is always either a bidet shower or a taboo. If you see paper, it is only to dry your behind. This is also why people here do not throw the paper in the toilet bowl but in the waste basket. The paper is clean but wet.

Protection:
  1. Always wash you between the legs after having had toilet business.

  2. If it itches, wash you as soon as possible with fresh water and soap.

  3. If nothing helps, go to the next pharmacy. You get a smile and an oitment. They understand your problem. Sure!

 

Itchy Hemorrhoid

Itchy Hemorrhoid

 

The bidet shower, wash your butt
The bidet shower, wash your butt.

The famous Taboo, have a splash
The famous Taboo, have a splash

Protect yourself

The Philippines aren't more dangerous than any other tropical country. There are two facts you need to know:

  1. Bacterias grow and multiply fast in the warm and humid environment
  2. Hygienic conditions can be very poor in some places

We recommend to bring or buy on arrival the following items:

  • Insect repellent (Off or Anti-Brumm)
  • Betadine
  • Band-Aid
  • Pain killer (The next doctor may be far away)
  • Imodium

The first three are for your skin. The last one may help your intestin.

If you plan to go to remote places or to hike through bushes and forests, we also recommend:

  • Light weight long sleeves shirts and long pants
  • A small mosquito net

 

Medicaments

We do not prefer a particular brand. The samples shown in the picture are those we have tested in the last 12 years. They do the job!

 

If you get hurt or if you do not feel well, do not wait. Seek medical assistance within 2 days!

Dangerous wound

This ugly and dangerous wound is the result of a slight strike by a tree branch during a motorbike trip. We had no betadine with us. And when we came home, it had been too late. The wound needed multiple treatments during 6 months. The scars are still visible after 8 years.


Health assistance Philippines

If you are in town, simply ask the next taxi or tricycle driver. If you are in a remote location ask a barangay official.

Language hint:
Where is the doctor? Nasaan ho ang doktor?

I need a doctor who speaks English. Kailangan ko ho ng doktor na marunong mag-Inggles.

The second phrase can be necessary in regions where lots of natural-healers are considered to be a doctor, for example in Siguijor.

In cities and big towns you can find good to excellent hospitals and clinics. In remote places you may have problems to find adequate health service.

Intellicare provides a list of hospitals, clinics, doctors and dentists.

Intellicare lists of hospitals

When you have to go to a hospital or a doctor:

  1. Take enough cash with you. You have to pay at admission time
  2. In large hospitals you may also pay with a credit card
  3. Don't go alone (if ever possible)

No it's not dangerous to go there, but very often hospitals and doctors do not dispense drugs. So somebody has to go to the nearest pharmacy to buy them.

In provincial hospitals you often get no food. It's up to relatives to take care of you. In private rooms one often finds a spare bed for accompanying persons.

Except of some top-class hospitals like the St.Luke's in Manila, the costs for hospitals and treatment are well below of those in occidental countries.


Health assistance abroad

IMPORTANT:

If you feel sick after having got home from the Philippines, inform your doctor that you are returning from a tropical country.


Remember: The incubation time, the time between infection and outbreak of a disease, can be between 2 days and 1 month!

 

Western doctors are not often confronted with tropical diseases and do not have the special formal training.

Tropical medicine assumes that dengue fever for example is seldom recognized, only about ten percent of cases are officially recorded.

Use a search engine like "Google" and look for "institute for tropical diseases" in your country.

You may use the form below. Just add your country at the end.

 

Tropical Medicine